| |
| |
|
|
訪問レントゲン撮影サービス開始の目的 |
|
| |
これまではレントゲン撮影が必要になった際、患者さま・ご利用者さまが病院やクリニックまで移動することが必要でした。しかしこのサービスの利用で撮影目的の通院(移動)を減らすことが可能になります。つまりは、患者さま・ご利用者さまにとって移動に伴う身体的・経済的負担が軽減されることが見込まれます。
当院では患者さまや施設さまからの直接のお申し込みもお受けしておりますが、基本としては患者さま・ご利用者さまのかかりつけ訪問医の先生方からの紹介としております。理由としましては、私たちはレントゲン撮影情報を先生方に提供することにより主治医の先生方をサポートすることをその目的と考えているためです。
私たちはこうした連携により、在宅での医療が少しでも進歩することを望み、地域貢献ができれば幸いと考えております。ぜひ訪問レントゲン撮影サービスをご利用ください。 |
|
| |
|
|
訪問レントゲン撮影サービスの流れ |
|
| |
| 当院が提供する訪問レントゲン撮影サービスは主に主治医の先生方からの紹介によるものであり、保険診療となります。撮影の必要性が発生した時点から撮影終了までの流れは次の通りです。 |
|
主治医による撮影の判断と
患者さまへの確認 |
|
訪問診療や往診時にレントゲン撮影が必要と判断されたな場合は、患者さま対し、当院が伺いレントゲン撮影を行う旨をお伝えしてください。 |
|
▼ |
|
|
|
撮影依頼 |
|
患者さまの了解が得られましたら、当院へご連絡ください。
【連絡先】医療法人社団江陽会江陽台病院 在宅事業推進室 TEL:04-7140-5037
※電話番号は直通となります。不在時は7153-2555(代表)へご連絡ください。 |
| ▼ |
|
|
診療情報提供書・保険証
医療費助成に係る受給者証
の送付(FAX) |
|
患者さまの診療情報提供書をFAX願います。また併せて保険証や医療費助成に係る受給者証の控えをお送りください。※診療情報提供書の書式に指定はございませんので、通常ご使用になられている書式のものをお使いください。 |
| ▼ |
|
|
|
患者さまと撮影日時の調整 |
|
ご紹介いただきました情報をもとにカルテを作成します。
当院より患者さま(ご家族または介護施設担当者)に連絡を入れ、訪問・撮影日時の調整を行います。 |
| ▼ |
|
|
|
訪問・診察・撮影 |
|
患者さまを訪問し、診療情報低居所に基づき診察・撮影を行います。
撮影し帰院後に請求書を発行します。事前連絡の上、患者さま宅を再度訪問し現金でお支払いいただきます。 |
| ▼ |
|
|
|
情報提供 |
|
撮影の緊急性にもよりますが、原則として撮影後1~2日以内に主治医の先生に撮影データ等を直接お持ちいたします。撮影データをお渡しする際、診療情報提供書の原本をお渡しください。 |
| |
|
|
|
| |
| |
|
|
使用機器と在宅におけるレントゲン撮影の安全性について |
|
| |
在宅におけるレントゲン撮影については、「在宅医療ににおけるレントゲン撮影装置の安全な使用について 平成10年6月30日(医薬安発第69号)」の中で認められています。
また撮影に際しては「在宅医療におけるエックス線撮影装置の安全な使用に関する指針」等により、レントゲン撮影時の防護として、2m以上離れることや防護衣を着用することにより安全を確保することとなっています。
使用機器につきましては、次の機器を使用して撮影を行います。 |
|
|
 |
使用機器
□ Kenko Tokina
ポータブルX線撮影装置 PX-20BT mini
※小型の機器であり、支持器とともに分解して運びますので、ご自宅や施設内への持ち運びが可能になります。
□ KONICA MINOLTA
デジタルラジオグラフィー AeroDRシステム
※DRのフラットパネルを採用しているため、その場で撮影の確認が可能となります。これにより、撮り直しのための再訪問がなくなり、患者さまへの負担を軽減させることができます。
※全て併せても一人で持ち運ぶことが可能な大きさとなります。組み立て、片付けともに5分程度の時間となり、組み立てのための場所も広い場所は必要ありません。 |
| |
|
|
| |
| |
|
|
訪問レントゲン撮影で可能になること |
|
| |
| 訪問レントゲン撮影により、次のような撮影が可能になります。 |
| |
 |
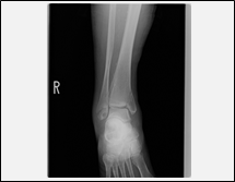
骨折または骨折疑い
療養中の転倒、またその他の理由で骨折が疑われる際の撮影が可能となります。 |
 |
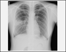
肺炎または肺炎疑い
咳が続くなど肺炎が疑われる際に、確認のための撮影が可能になります。 |
 |
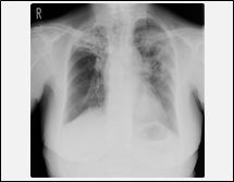
健康診断・結核予防法等に伴う検査
高齢者施設等における結核等拡散防止のための定期的な検査のための撮影が可能になります。
※当院は訪問レントゲンサービスの提供に伴い、平成28年度の結核管理検診・接触者健診委託契約を千葉県と結んでいます。 |
 |
骨塩定量検査
骨粗鬆症の可能性が高まる高齢者において骨密度測定のための撮影が可能になります。(MD法) |
 |
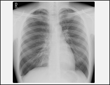
治療後の経過観察
肺炎や骨折治療後の経過観察を行うための撮影が可能になります。 |
 |
胃ろう交換の手技確認
胃ろう交換手技実施後、確認のための撮影が可能になります。
※在宅での胃ろう交換等が可能になります。
※胃ろう交換後の撮影にあたっては、造影剤を使用しますので事前にご相談ください。 |
| |
|
|
| |
|
|
介護施設等における健康診断への活用 |
|
| |
本サービスを利用することで介護施設内での胸部のレントゲン撮影が可能となります。
これまでは胸部レントゲン撮影のためだけに病院・クリニックまで搬送していましたが、今後はその必要がなくなります。患者さまにとっては身体的・経済的負担が軽くなり、介護施設さまにとっては搬送や付き添いを行う手間が軽減されます。主治医の先生方にとりましても、レントゲン撮影を除く健康診断項目をご自身の医療機関で行うことが可能になり、患者さまの健康管理がより一層行いやすくなります。 |
| |
| |
|
|
訪問レントゲン撮影サービスの紹介資料 |
|
| |
|
在宅レントゲン撮影の紹介資料(PDF)がダウンロードできます。 |
|
|
 |
|
 |
|
| 医療機関さま向け |
|
患者さま向け |
|
|
|
| |
|
|
医療機関さま用 訪問レントゲン撮影依頼書(診療情報提供書) |
|
| |
医療機関さま向けに訪問レントゲン撮影の依頼書(兼診療情報提供書)をご用意しておりますので、PDFファイルをダウンロードの上ご利用ください。もちろん、医療機関さまが日頃からご使用の診療情報提供書様式でも構いません。
患者さまの療養される場所や訪問の日時によっては撮影に伺えないこともございますので、ご依頼の際は事前にお電話にてご相談ください。
ご相談の結果、訪問撮影をお受けすることが可能となった場合は、依頼書とともに健康保険証のコピー、医療費助成に係る受給者証のコピーを併せてFAXでお送りください。依頼書の原本は後日、郵送などでお送りいただければ構いません。 |
|
|
 |
|
 |
|
| 訪問レントゲン撮影依頼書 |
|
(記入例) |
|
|
| |
|
その他、療養される患者さまのご自宅が当院から遠方であり、訪問が可能であるかを知りたいなどご不明な点がございましたらまずはお電話にてご相談ください。 |
| |
| |
【本件に関するお問い合わせ】
医療法人社団江陽会江陽台病院 在宅事業推進室
電話:04-7140-5037(直通) |
|
| |